El término periodoncia engloba todo lo relacionado con el tratamiento de las enfermedades periodontales, es decir, aquéllas que se producen por la acumulación de placa bacteriana y sarro en el cuello de los dientes, la línea de la encía (gingivitis) y por debajo de esta última (periodontitis).
¿Qué es la gingivitis?
La gingivitis es el estadio más temprano de esta afección. Se caracteriza por producir inflamación y sangrado, sin que llegue a afectar al hueso colindante.
Es reversible y puede ser eliminada con un apropiado tratamiento de gingivitis. Es fundamental un precoz diagnostico y tratamiento para evitar la evolución a periodontitis.
¿Qué es la periodontitis?
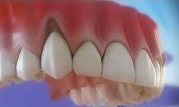
La periodontitis (antiguamente llamada piorrea), es una infección bacteriana producida por las bacterias existentes en la placa bacteriana y el sarro, estas bacterias producen la reabsorción de los tejidos de sostén del diente (hueso, ligamento y encía). Al perder sujeción, los dientes se mueven y finalmente se caen o requieren ser extraídos.
¿La periodontitis en heriditaria?
No se ha demostrado que haya una herencia clara de padres a hijos, pero si que hay personas con mayor predisposición a padecerla.
¿Cuáles son los síntoma más frecuentes?
- El primer síntoma de alarma es el sangrado de encías, producto de la inflamación gingival presente en las encías por el acúmulo de sarro y bacterias.
- Los pacientes fumadoresnotarán un sangrado más leve ya que el tabaco es vaso constrictor y camufla estos síntomas
- La hipersensibilidad dentaria. Producida por la retracción de encías y hueso que expone la raíz de las piezas.
- La movilidad dentariaaparece cuando empezamos a perder tejido de soporte (encías y hueso).
- La halitosis (mal aliento) y mal sabor, como consecuencia de los productos liberados por las bacterias que se encuentran en el sarro.
¿Qué relación tiene con el consumo de tabaco?
Mucha, el tabaco es probablemente el factor secundario más importante en la aparición y el progreso de la periodontitis. El tabaco produce una disminución de la calidad de las células defensivas, por lo que las bacterias encuentran menos impedimento para progresar en un paciente fumador que en uno que no fuma.
Además hay estudios que han demostrado que los pacientes con una genética positiva para desarrollar periodontitis, que además fuman, multiplican exponencialmente la probabilidad de desarrollar la enfermedad.
Por todo esto es muy importante que el paciente que comienza un tratamiento periodontal disminuya el consumo y a ser posible deje de fumar.
¿Se puede curar la periodontitis?
Si, siempre que la detectemos a tiempo. En los estadios iniciales o moderados, podemos evitar la pérdida de las piezas afectadas. Para los casos más avanzados, podemos alargar la vida de esos dientes en boca. Cuando el deterioro es excesivo, será necesaria la extracción de esas piezas.
En casos más avanzados se puede requerir una pequeña intervención quirúrgica en la que el especialista limpiará más profundamente esas raíces afectadas y remodelara la superficie ósea para optimizar la higiene del paciente en casa y en clínica.
Posteriormente se realizarán revisiones periódicas cada 3-6meses para controlar la salud gingival, los datos clínicos y realizar higienes en clínica de ser necesario. Es muy importante la colaboración del paciente en estos tratamientos, pues sin la constancia y la regularidad, la enfermedad puede recidivar con el paso de los años.
Desde hace años usamos junto con la cirugía periodontal el uso de eemgogaim, de la marca Suiza Straumann, el cual regenera periodonto, acelera la cicatrización y mejora la adhesión del conectivo a la superficie recidular.
¿Cómo es el tratamiento de la periodontitis?
Deberá evaluarse la severidad de cada caso y la planificación del tratamiento en base a un diagnostico minucioso mediante radiografías y datos clínicos del paciente.
- La primera fase suele conllevar un raspado y alisado radicular con anestesia local(la que se usa para hacer un empaste), en la que se elimina el sarro bajo la encía. Es indolora y permite realizar vida normal.
- En casos más avanzados se puede requerir una pequeña intervención quirúrgica en la que el especialista limpiará más profundamente esas raíces afectadas y remodelara la superficie ósea para optimizar la higiene del paciente en casa y en clínica.
Posteriormente se realizarán revisiones periódicas cada 3-6meses para controlar la salud gingival, los datos clínicos y realizar higienes en clínica de ser necesario. Es muy importante la colaboración del paciente en estos tratamientos, pues sin la constancia y la regularidad, la enfermedad puede recidivar con el paso de los años.
Recubrimiento radicular. Cirugía plástica periodontal
Debido a traumatismo como el cepillado, una encía en principio sana, puede retraerse.
Un problema cada vez más presente y muy importante corregirlos en estadíos tempranos.
Somos periodoncistas con formación especifica en el tratamiento del recubrimiento de raíces y realizamos formación específica y al más alto nivel en Brasil, con el Dr. Paulo Mesquita, del cual el Dr. Félix Martínez, periodoncista de la clínica, es afortunado alumno suyo.